
Verity has beaten the odds after initially told she could have just 12-18 months to live
A mum who blamed her headaches and sickness on side effects from new fibromyalgia medication eventually found out she had stage four brain cancer after collapsing at work. Verity Phillips, 35, was diagnosed with a glioblastoma in February 2022 and was initially given just 12 to 18 months to live.
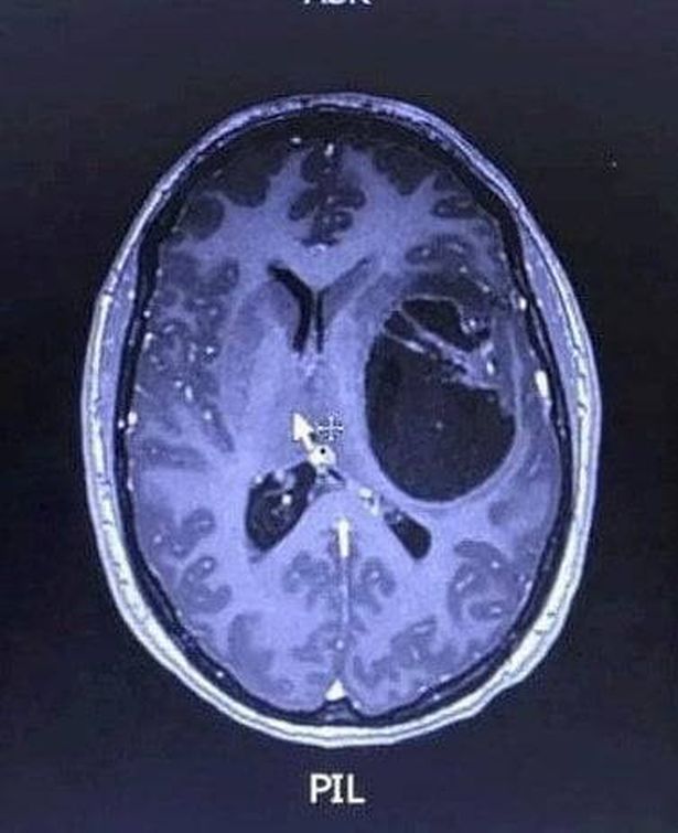
Following her collapse at work, Verity had initially thought her symptoms were caused by new medication she had begun taking for fibromyalgia – but her condition worsened and she was rushed to hospital. Scans revealed a mass on her brain, and she was transferred to Hull Royal Infirmary where surgeons drained excess fluid and took a biopsy which subsequently confirmed her brain cancer diagnosis.
In April 2022, Verity underwent a second operation where 89 per cent of her tumour was removed, followed by six weeks of radiotherapy and 12 months of chemotherapy. Three years on, the mum-of-four has surpassed her prognosis and quarterly MRI scans show her results remain stable.
Verity, from Immingham, in northern Lincolnshire, said: “I was really confused and scared. I went into hospital in my pyjamas with nothing with me and was suddenly surrounded by doctors and nurses asking questions I could barely process.
“When the doctors showed us the scan and said there was a mass on my brain, we were devastated. Doctors told me that without treatment I could have just months to live – with treatment, maybe 12 to 18 months. It hit me like a tonne of bricks.”
Verity began experiencing symptoms after starting new medication for her fibromyalgia, a chronic condition that causes widespread pain, fatigue, disturbed sleep and cognitive difficulties. After collapsing at work, her worried colleagues alerted Verity’s manager and sister-in-law Sarah, 49, who quickly took her to hospital.
Following her devastating diagnosis, Verity underwent six weeks of radiotherapy alongside oral chemotherapy, which she completed in December 2023. “I had to relearn how to walk, cook, and even make a cup of tea after surgery,” Verity said.
“At first, I lived under the illusion that everything would be fine, but once treatment stopped, reality hit me. I grieved hard for the life I thought I’d lost – and then I decided I wasn’t going to let this define me.”
Now, along with her husband Danny, 36, a skilled operative in the steel industry, and their four children Oscar, 15, Cameron, 13, Edith, 12, and Dexter, 11, Verity is fundraising and raising awareness of brain tumours. The couple have raised more than £1,000 by completing the Cycle 274 Miles Challenge for Brain Tumour research – cycling the equivalent distance between the charity’s four Centres of Excellence across the UK.
With their total fundraising at £7,000, Verity has “hope that one day other families might get a different outcome”.
Her husband Danny said: “When Verity was first diagnosed, our world fell apart. But she has been incredible.
“The kids have been troopers too – they know when she’s having a bad day and they just step up. Taking on these challenges as a family has given us something positive to focus on. It’s about raising money, yes, but also making sure other families know they’re not alone.”
After defying the odds, Verity is determined to inspire hope in others. She said: “Glioblastoma is brutal.
“Most people diagnosed are given just 12 to 18 months to live. I’ve already beaten those odds, but we need more research so others can have hope too.
“Knowing that the money we’ve raised is going to centres like Imperial College London, where scientists are working on better ways to diagnose and treat glioblastoma, gives me real hope that one day other families might get a different outcome.”
Ashley McWilliams, community development manager at Brain Tumour Research, said: “Verity’s courage and determination are truly inspiring. By taking on this fundraising role and sharing her story, she is helping to raise awareness of glioblastoma and the urgent need for more research.
“The money raised will support vital work at our Centres of Excellence where scientists are working to improve how this disease is diagnosed and treated. We are so grateful to Verity, Danny, and their family for helping bring us closer to a cure.”
To support Verity’s fundraising, visit https://www.justgiving.com/fundraising/verity1752921106151
